
PET/MRI vs. PET/CT; Abdominal CT and COVID-19; Chest MRI vs Chest CT; Expert Interpretations of Endometriosis; and Delayed Breast Cancer Treatments for African American Women

PET/MRI vs. PET/CT; Abdominal CT and COVID-19; Chest MRI vs Chest CT; Expert Interpretations of Endometriosis; and Delayed Breast Cancer Treatments for African American Women

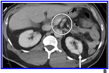
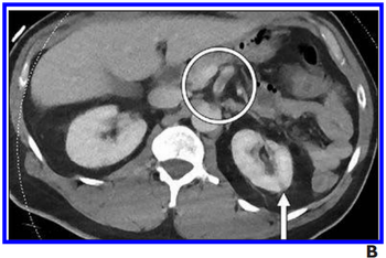
Thromboembolic findings in the abdomen and pelvis appear more often in patients with viral infection.

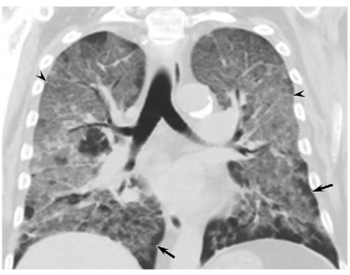
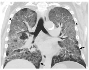
Chest MRI picks up the same characteristics of COVID-19 pneumonia that are seen on chest CT, making it a good alternative without the radiation.

Azurion Lung Edition is supports precision diagnosis and minimally invasive therapy in one room.

Findings captured during emergency scans intended to pinpoint stroke can reveal viral infection.

PET/MRI detects more lesions with less radiation, making it a great option for pediatric patients.

Rethinking CMR during COVID-19; Abdominal Imaging and COVID-19; Mental Health Impacts of COVID-19; African American and Lung Cancer Screening; Plus, African American Women and Disadvantages in Breast Cancer Screening

Low-dose CT scans could catch more cancers if the lung cancer screening threshold were dropped to a history of 20-pack-years.

Nearly 20 percent of patients infected with the virus show up with gastrointestinal – but no respiratory – complaints.

Improving patient communication not only augments patient understanding of their radiation exposure with imaging studies, but it bolsters trust in their healthcare providers, as well.

Portable, Low-field MRI; COVID-19 and Cardiac MRI; High-Intensity Focused Ultrasound; Coronary CTA Guidance; and Pediatric Advanced Imaging Utilization

Point-of-care, 64mT MRI performs as well as conventional CT and MRI while improving patient safety.

The American College of Cardiology recommends the United States join Europe in using this test first with this patient population.

Chest CT for COVID-19 Diagnosis; COVID-19 Neuroimaging Patterns; Radiologist COVID-19 Stress; Accelerated MRI NYU Langone Health and Facebook AI Partnership

CT use has declined precipitously with pediatric appendicitis patients without a significant change in negative appendectomy rates.

Findings from a French study contradict recommendations from the American College of Radiology and the international community against using chest CT scans an initial tool for viral diagnosis.

PET/CT brain scans of the enzyme aromatase could help providers pinpoint which patients will struggle with obesity and self-regulation.

Grassroots group points to substantial clinical evidence of safety in call for agency to remove the warning.

Cerebral infarction and hemorrhage are more common in severe cases while cranial nerve abnormalities affect patients with milder disease.

The test could not only accelerate diagnosis, but it could also reduce costs for the patient.

Augmented reality headsets produce both better post-test scores and understanding in head and neck anatomy training.

Artificial intelligence equivalency in breast cancer screening; diffusion-weighted imaging and breast MRI; CT patterns for EVALI; Emergency Department and CT Scan Declines with COVID-19; and Thoracic Imaging Findings of MIS-C.

Identified patterns can be used to make more accurate diagnoses and, potentially, avoid unnecessary biopsies.

The dual-layer platform can identify malicious instructions from a host computer.

Past RBMA President Christie James, American College of Radiology Commission on Economics Chair Greg Nicola, M.D., and Revenue Cycle Coding Strategies President Melody Mulaik discuss the radiology revenue cycle management challenges and solutions of the pandemic.