
Employing a deep learning system for pancreatic segmentation, researchers found that intrapancreatic fat percentage and pancreatic fractal dimension were among the key predictors for type 2 diabetes mellitus in a multivariable analysis.
Senior Editor, Diagnostic Imaging

Employing a deep learning system for pancreatic segmentation, researchers found that intrapancreatic fat percentage and pancreatic fractal dimension were among the key predictors for type 2 diabetes mellitus in a multivariable analysis.

Multivariable analysis from a recently published study found that males and people older than 60 years of age were more prone to persistent abnormalities on chest computed tomography (CT) one year after COVID-19 pneumonia.

Preliminary ultrasound findings from a study of over 3,000 women in early pregnancy found no association between fetal anomalies and initial COVID-19 vaccination.

The authors of a new meta-analysis found no significant differences between clinicians and artificial intelligence in diagnosing fractures but conceded that slightly over half of the studies assessed had a high risk of potential bias.

Powered by artificial intelligence, the new Ultrasound Workspace platform reportedly offers advanced echocardiography capabilities and facilitates enhanced diagnostic workflows.

In a recent video interview, Syam Reddy, MD discussed the merits of computed tomography (CT) colonography, a non-invasive alternative to conventional colonoscopy, which may help reduce gaps in screening for colorectal cancer.

A closer look at the Canadian National Breast Screening Studies (CNBSS) has revealed key methodological flaws that may prohibit use of the findings in the development of future guidelines on mammography screening for breast cancer.

The combination of the imaging agent Locametz and the targeted radioligand therapy Pluvicto may allow targeted treatment and mortality risk reduction in patients with prostate cancer.

In a recent video interview, Kevin J. Abrams, MD, discussed highlights from the recent 25th Annual Symposium of the American Society of Spine Radiology (ASSR), including lectures on imaging for spontaneous intracranial hypotension, the emergence of dynamic susceptibility contrast for MR perfusion and insights on the use of dual-energy computed tomography (CT) for diagnosing vertebral fractures.

Distinguishing between classic and non-classic presentations of isolated adnexal lesions on pelvic ultrasound reportedly had a high specificity and sensitivity in diagnosing ovarian cancer in women at average risk.

The artificial intelligence (AI) model reportedly had an 89.3 accuracy rate in differentiating between non-dense and dense breasts on mammography scans, and a 90.4 percent rate of agreement with human radiologist reviewers.

While breast arterial calcification is a common incidental finding on mammograms that is not routinely recommended for follow-up, statistically significant associations with cardiovascular risks may change that approach for postmenopausal women.

Emerging research suggests that an experimental alpha-synuclein (a-syn) positron emission tomography (PET) tracer may help diagnose multiple system atrophy (MSA) and potentially other neurodegenerative diseases such as Parkinson’s disease and Lewy body dementia.

New additions to the Philips Capsule Surveillance software include improved integration with health information technology (HIT) systems and enhanced visibility of patient data across remote devices.

The retrospective study, which involved nearly 1,000 patients with COVID-19, found that a high initial chest radiograph severity score was an independent risk factor for intrathoracic complications.

Offering a potential antidote to health-care silos that can hamper and delay care, the Enterprise Imaging and Informatics Suite may revamp image sharing and communication between providers.

The expanded FDA clearance for Collaboration Live (Philips) gives clinicians the option to consult on or diagnose ultrasound images from their mobile devices.

In addition to facilitating strong interreader agreement among radiologists of various experience levels, use of the proposed Neuropathy Score Reporting and Data System (NS-RADS) classification for peripheral neuropathy reportedly improved accuracy in differentiating between milder and more severe categories for muscle abnormalities and nerve lesions.

In a large study reviewing biennial mammography screening for women between the ages of 50 to 74, researchers estimated a 6.1 percent overdiagnosis rate for indolent pre-clinical cancer and a 9.3 percent overdiagnosis rate for progressive pre-clinical cancer in women who would have died from other causes prior to clinical diagnosis.

A recent multicenter study of BoneView AI noted a significant increase in sensitivity for fracture detection on X-rays and decreases in reading time for radiographs.

A new artificial intelligence tool reportedly overcomes resolution issues of standard magnetic resonance imaging (MRI) scans with 3D images of the shoulder bones and may eliminate pre-operative use of computed tomography (CT) for total shoulder arthroplasty procedures.

A recent study found that Viz ANEURYSM had a 94 percent accuracy rate of diagnosing subarachnoid hemorrhages on computed tomography angiography (CTA).

The ruling noted that the interim final rule for the legislation materially altered the independent dispute resolution (IDR) process of the No Surprises Act and cited a lack of sufficient “notice and comment,” rendering the changes as unlawful as per the Administrative Procedure Act (APA).

The newly approved NephroScan may have promise in facilitating the diagnosis and assessment of renal disorders.

Utilizing biomarkers from magnetic resonance imaging (MRI) exams, AMRA Medical’s BCP Scan reportedly provides precise measurements of muscle and fat.

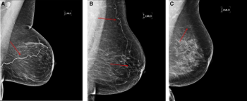
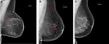
When there are equivocal findings with digital breast tomosynthesis (DBT), spot compression views may significantly enhance specificity and accuracy, and could reduce additional workup in benign cases.

For premenopausal women with a family history of breast cancer, new research shows a 25 to 30 percent higher likelihood of mammographic breast density.

In a recent video interview, Nina Kottler, MD, discussed the promise of artificial intelligence (AI) for improving workflow efficiency for radiologists, keys to assessing AI vendors and change management principles for facilitating implementation of AI into one’s practice.

In a new study comparing the development of myocarditis among vaccinated patients to those with COVID-19-related illness and patients with other etiologies, researchers noted less severe abnormalities on magnetic resonance imaging (MRI) and no major adverse events in a short-term follow-up.

In a new national coverage determination, the Centers for Medicare and Medicaid Services (CMS) have lowered the starting thresholds for lung cancer screening from 55 to 50 years of age and from a 30-pack/year tobacco smoking history to 20 packs a year.