
One prospective multicenter study found the radiohybrid prostate-specific membrane antigen (PSMA) agent 18F-rhPSMA-7.3 had an 83 percent detection rate in nearly 400 men with suspected prostate cancer.
Senior Editor, Diagnostic Imaging

One prospective multicenter study found the radiohybrid prostate-specific membrane antigen (PSMA) agent 18F-rhPSMA-7.3 had an 83 percent detection rate in nearly 400 men with suspected prostate cancer.

In an update of the original CAD-RADS™ consensus document on coronary artery disease (CAD) imaging and reporting published in 2016, expert panelists incorporated emerging evidence for CAD-RADS 2.0 to recommend new categorization for coronary plaque burden and suggested modifiers to reflect the level of ischemia and high-risk plaque in patients undergoing cardiac computed tomography.

The ability of QT Imaging’s QTscan, a quantitative transmission ultrasound modality, to calculate the ratio of fibroglandular volume to total breast volume may facilitate assessment of ongoing breast cancer treatments or selective hormone receptor modulation therapies.

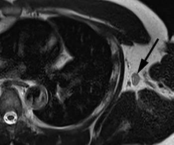
Requiring only half of the gadolinium dose of current non-specific gadolinium-based contrast agents (GBCAs), gadopiclenol can be utilized with magnetic resonance imaging (MRI) to help detect lesions with abnormal vascularity in the central nervous system and other areas of the body.

In a retrospective review involving over 2.2 million women with three consecutive biennial mammography screenings and no history of breast cancer, researchers noted that for premenopausal women with fatty breasts at baseline, increasing breast density at subsequent screenings led to significantly elevated hazard ratios ranging from 1.45 to 1.93 for the risk of breast cancer.

Emerging research suggests that combining pre-biopsy magnetic resonance imaging (MRI) with prostate-specific antigen (PSA) testing more than triples the specificity rate for detecting clinically significant prostate cancer in comparison to sole reliance on a PSA level greater than or equal to 4 ng/mL.

Version 2.1 of the ClearPoint Neuro Navigation software reportedly offers enhanced imaging and new trajectory planning tools for neurosurgical procedures.

In a new study looking at the development of axillary lymphadenopathy after a second dose of COVID-19 vaccination, researchers found that those who had the Moderna COVID-19 vaccine were 21 percent more likely to have the post-vaccine side effect in comparison to those who had the Pfizer-BioNtech COVID-19 vaccine.

Emerging research suggests that the contrast-enhanced, in-phase Dixon sequence may be the most optimal sequence for detecting biopsy clips on breast magnetic resonance imaging (MRI).

Combining low-cost, high-resolution radiography with dynamic imaging capabilities and design attributes to optimize workflow efficiency, the Chiropractic Straight Arm system may enhance musculoskeletal imaging.

Emphasizing the digitalization of OB/GYN workflows and patient management, the cloud-based system reportedly facilitates real-time access to fetal ultrasound images and related data from any ultrasound system.

In a new United Kingdom study comparing radiologist and radiographer assessment of over 1.4 million digital mammograms, researchers said there were no significant differences with cancer detection rates or recall rates.

New research reveals that an emerging deep learning tool had comparable sensitivity and specificity to radiologist assessment of contrast-enhanced computed tomography (CT) scans for pancreatic cancer, and a 74.7 percent sensitivity rate for tumors smaller than 2 cm.

Assessing high-resolution computed tomography (CT) scans of the wrist, CurveBeam AI’s OssView software reportedly enables clinicians to ascertain bone fragility and fracture risk for women over the age of 70.

Offering uniform high-resolution images through a combination of beamforming and enhanced image processing, the new ultrasound platform reportedly has an array of diagnostic features ranging from cardiovascular applications to breast lesion assessment.

Offering a variety of features to enhance efficiency, bolster security and reduce IT overhead, the cloud-native SaaS platform may help radiologists minimize workflow issues that can impede practices with high imaging volume.

Comparing patients with and without comorbidities ranging from emphysema and tuberculosis to chronic obstructive pulmonary disease (COPD), researchers found that cancer detection rates and false-positive rates remained similar in lung cancer screening.

Examining imaging data of patients from multiple countries, researchers found that a deep learning system demonstrated higher sensitivity and non-inferior specificity for detecting active tuberculosis on chest radiographs in comparison to nine radiologist reviewers.

Amid emerging research showing the benefits of spectral computed tomography (CT) imaging in interventional radiology, the newly launched Phillips Spectral Angio CT Suite may provide enhanced efficiencies in care for stroke, oncology, and trauma patients.

Researchers suggest that an artificial intelligence (AI)-powered risk stratification tool for lung nodules identified on computed tomography (CT) scans may identify likely malignancies more than one year prior to definitive diagnosis.

Researchers found that stand-alone use of an artificial intelligence (AI) model led to a 24.9 percent increase in sensitivity for diagnosing pulmonary nodules and a 21.4 percent increase in sensitivity for diagnosing pneumonia.

The automated measurement of heart ventricle diameters and detection of potential dilation in the right ventricle may facilitate quicker intervention in cases of pulmonary embolism.

In comparison to initial sonographer assessment of echocardiograms, cardiologists are over 10 percent less likely to change initial artificial intelligence (AI) assessment of left ventricular ejection fraction (LVEF), according to new research recently presented at the European Society of Cardiology Congress in Barcelona, Spain.

In a new study of over 7,200 women with no history of breast cancer, researchers found that women who scheduled health-care appointments online were more likely to have annual mammography exams but only 18 percent of the study population scheduled appointments online.

Emerging research suggests a higher prevalence of positive breast arterial calcification (BAC) rates among Hispanic and Black women, and a lower rate of BAC in women with dense breasts or breast implants.

Mild, moderate, or marked background parenchymal enhancement on surveillance magnetic resonance imaging (MRI) reportedly doubles the risk of second breast cancer in women who have had surgery for primary breast cancer.

Emerging research findings suggest the use of single-encounter thoraco-abdominopelvic computed tomography (CT) per 1,000 trauma-related emergency department (ED) visits more than quadrupled for minor injuries and more than doubled for intermediate injuries from 2011 to 2018.

Researchers found the combination of magnetic resonance imaging (MRI) and contrast-enhanced mammography was nearly 22 percent more effective at detecting breast lesions than MRI-directed ultrasound.

Researchers showed the deep learning system had an area under the curve (AUC) ranging from 87 percent to 91 percent in two test sets for diagnosing solid pancreatic lesions of any size and cystic lesions 1 cm or larger on high-contrast computed tomography (CT).

Well known for her education and advocacy on the use of computed tomography (CT) colonography for colorectal cancer screening, Dr. Yee is also widely recognized for her leadership, mentoring skills and being a champion for diversity in the field of radiology.