
Lamenting a lack of control over imaging requests from referring clinicians, this author suggests that a more collaborative approach between referrers and radiologists may facilitate more efficient use of imaging.


Lamenting a lack of control over imaging requests from referring clinicians, this author suggests that a more collaborative approach between referrers and radiologists may facilitate more efficient use of imaging.

Catch up on the top radiology content of the past week.

In a new study involving over 11,700 chest computed tomography (CT) scans in oncology patients, adjunctive artificial intelligence software demonstrated a sensitivity rate of 91.6 percent for incidental pulmonary embolism (IPE) and reduced median detection and notification time for IPE-positive scans from multiple days to one hour for a radiology department at a comprehensive cancer center.

Powered by artificial intelligence (AI), the Rapid NCCT Stroke modality is reportedly the first medical device to gain FDA 510(k) clearance for detecting suspected large vessel occlusion and intracranial hemorrhage based on assessment of non-contrast computed tomography (NCCT).

Catch up on the top radiology content of the past week.

Review the case study and test your knowledge to make the correct diagnosis.

Catch up on the top radiology content of the past week.

A recent study showed that artificial intelligence (AI)-based worklist reprioritization led to a mean reduction of 12.3 minutes in radiology report turnaround time for positive computed tomography pulmonary angiography (CTPA) exams that were positive for pulmonary embolism.

Catch up on the top radiology content of the past week.

Catch up on the top AI-related news and research in radiology over the past month.

Viz AAA is reportedly the first artificial intelligence (AI)-enabled algorithm to garner FDA 510(k) clearance for the detection of abdominal aortic aneurysm.

Catch up on the top radiology content of the past week.

Noting that computed tomography (CT) scans are obtained for more than 30 million emergency department (ED) patients annually and that 31.3 percent of ED CT scans reveal incidental findings, representatives from the American College of Radiology (ACR) and the American College of Emergency Physicians (ACEP) recently collaborated on best practice recommendations for addressing incidental imaging findings in EDs.

Catch up on the top radiology content of the past week.

Review the case study and test your knowledge to make the correct diagnosis.

Catch up on the top radiology content of the past week.

Recently published research revealed that coronary computed tomography angiography (CCTA) exams performed with dual-source CT were completed 22 minutes faster and had a nearly 28 percent higher frequency of good or excellent image quality in comparison to CCTA exams performed with single-source CT devices.

The new launches include the 80/160-slice computed tomography (CT) scanner Aquilion Serve, which allows simultaneous previews of axial, lateral and AP views, and Celex, a multipurpose X-ray system that offers automated and customizable features to help maximize workflow efficiencies.

Catch up on the top radiology content of the past week.

Catch up on the top AI-related news and research in radiology over the past month.

Facilitating expedited assessment of pulmonary embolism severity, the emerging artificial intelligence (AI) tool Rapid RV/LV reportedly calculates the right ventricle/left ventricle (RV/LV) ratio within minutes of a computed tomography pulmonary angiogram (CTPA).

Noting that only 25 percent of incidental emboli are identified in reporting of initial computed tomography (CT) exams, Avicenna.AI said the artificial intelligence (AI)-enabled CINA-iPE is geared toward detecting incidental pulmonary embolism (PE) on chest CT scans.

Catch up on the top radiology content of the past week.

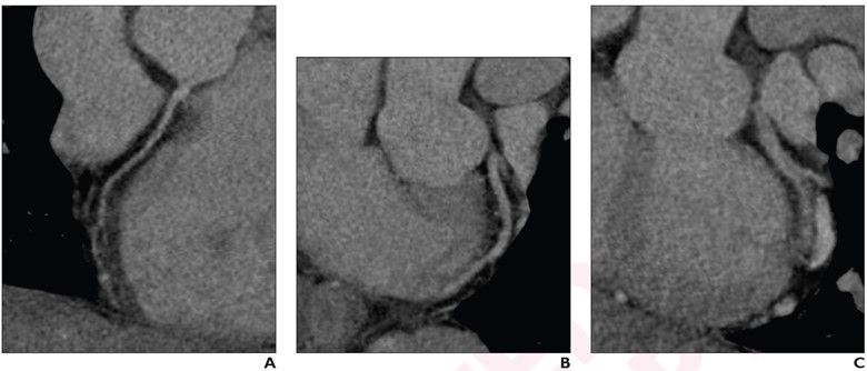
Derived from coronary computed tomography angiography (CCTA) images, a radiomics model demonstrated a 75 percent or greater area under the curve (AUC) in multiple test sets for identifying vulnerable plaque.

Review the case study and test your knowledge to make the correct diagnosis.