
Implementing a radiomics-based machine learning algorithm allows CT colonography to differentiate between benign and pre-cancerous polyps with high sensitivity and specificity.

Implementing a radiomics-based machine learning algorithm allows CT colonography to differentiate between benign and pre-cancerous polyps with high sensitivity and specificity.

Here's what to expect this week on Diagnostic Imaging.

Mammography "Sweet Spot" Recall Rate; MRI for Early-Stage Testicular Cancer Follow-Up; COVID-19 and Body Self-Attack; Plus, Global Radiology

New strategy can better detect any remaining malignant tissue intraoperatively, increasing surgeon confidence and decrease patient anxiety.

CT, MRI, and ultrasound images reveal the myriad of ways the virus prompts the body to attack itself – with this knowledge, radiologists can better contribute to treatment planning.

Using radiomics to assess impact of unconventional risk factors, including cocaine use and HIV infection, potentially introduces a “brave new world” of precision phenotyping in CAD.

Using MRI – rather than CT – for post-surgical monitoring can effectively detect cancer relapse without exposing men to unnecessary radiation.

Can you diagnose this patient with unexplained weight loss?

These radiopharmaceuticals are less expensive, and they offer longer half-lives.

Not all radiologists adhere to practice guidelines that direct providers how to respond to the presence of pulmonary nodules.

Can you diagnose this patient with a deformed chest wall and chronic history of gradual shortness of breath?

New consensus document pulls from updated evidence and data, answering key questions on use.

Female breast cancer diagnosis is now the most common cancer diagnosis globally, largely affecting women in transitioning countries.

Low-Dose CT Screening for Never Smokers; PET Imaging and Hormone Therapy; Opportunities, Responsibilities, and Challenges for Women in Radiology; and Advances in Thyroid Cancer Imaging

Using imaging to screen asymptomatic individuals can cause more potential harm than good, Task Force reiterates.

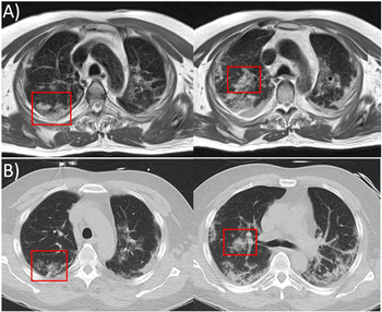
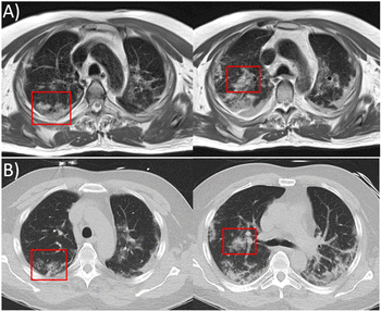
Research MRI images reveal information in 61-year-old COVID-19-positive patient that is similar to that captured by CT.

Can you diagnose this patient with pain and sepsis?

Hormone therapy is only effective in roughly half of estrogen receptor-positive cancers. Being able to identify patients that will not respond could save valuable treatment time.

Research data reveals using LDCT with patients who have never smoked – but who are still at high risk – is effective for lung cancer screening.

Here's what to expect this week on Diagnostic Imaging.

Perivascular Spaces & Dementia; COVID-19 Loss of Smell and Taste; NAFLD & Multi-parametric CT; Plus, Point-of-Care Ultrasound in the Pandemic Era

Across X-ray, CT, ultrasound, and MRI, as well as insurance types, African American and Hispanic children get fewer tests than white children.

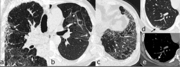
Six-month follow-up CT scans show lingering fibrotic-like feature in more than one-third of recovered patients.

CT can provide faster, easier-to-capture evidence of non-alcoholic fatty liver disease than MRI or ultrasound elastography.

Whole-body MRI was able to detect more lesions and identify more patients for earlier treatment.