
DECT and electron density offers more accurate differentiation between metastatic and non-metastatic lymph nodes when compared to FDG PET/CT.

DECT and electron density offers more accurate differentiation between metastatic and non-metastatic lymph nodes when compared to FDG PET/CT.

Novel deep learning model can provide needed information from multi-modal imaging even when some modalities are absent.

Whether a patient has a pulmonary embolism, a higher-than-normal D-dimer value can help identify patients for whom CTPA is most appropriate, alleviating some workload from emergency radiology.

Using deep learning analysis with abdominal CT scans provides a more accurate body composition measurement that can predict which patients will suffer major cardiovascular events within five years.

Using high-resolution micro-CT with bones exposed to fire could help forensic investigators determine the timing of murders.

The mechanisms, magnitude, manifestations, and management of stroke during the pandemic.

By incorporating non-imaging data, the algorithm can effectively pinpoint which patients will need ICU intervention.

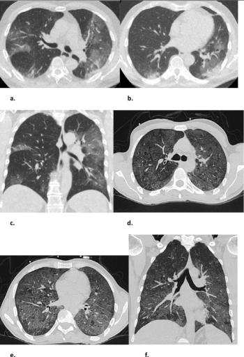
Low-dose CT for lung cancer screening offers significant benefits for detection and follow-up, but utilization, to date, has been low. Debra S. Dyer, M.D., chair of the American College of Radiology's Lung Cancer Screening 2.0 Committee discusses what the screening provides and the challenges to more widespread implementation.

CT scans reveal impaired lung function in individuals who use biomass, such as wood or wildfires, to cook.

Images reveal that adolescents experienced a loss in volumetric bone mineral density after sleeve gastrectomy and extreme weight loss.

Here's what to expect this week on Diagnostic Imaging.

Basic photographs paired with AI technique can pick up on retinal changes that are early signs of the progressive central nervous system disorder.

This mathematical algorithm can reduce dose in pediatric CT scans by 52 percent.

Trends for CT scans for abdominal pain in pediatric patients are down, but they are up for adults. Still, the scan is integrally involved in appendicitis diagnoses.

Third annual report from the American Lung Association reveals 94 percent of high-risk eligible patients are not getting screening with LDCT, and access and outcomes are worse for racial and ethnic minorities.

Rapid COVID-19 Diagnosis with CT and CO-RADS; Cooled Radiofrequency Ablation for Pain Relief; Inappropriate Abdominal CT and Ultrasound Scans; and Lead Shielding Guidance

New research shows radiologists – regardless of experience level – fall victim to inattentional blindness, overlooking obvious unrelated findings when they are trying to answer a specific diagnostic question.

For patients who have had viral symptoms for more than 48 hours, combining chest CT findings and CO-RADS classifications can effectively diagnose COVID-19-positive patients.

Study finds 84 percent of CT and ultrasounds in the emergency department do not follow ACR appropriateness criteria and cause downstream problems for patient care.

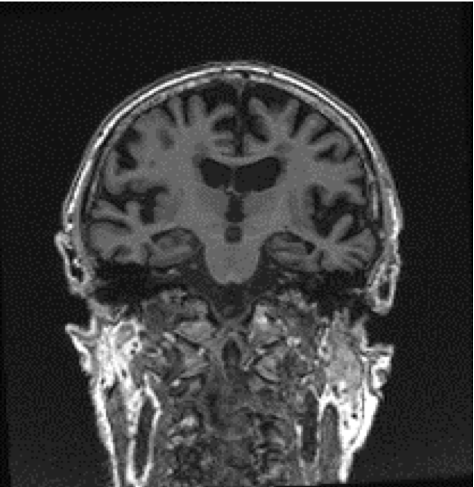
Approximately half of all patients who experience stroke, brain bleeds, or blocked blood vessels, identified on MRI or head CT in this study, had high blood pressure or type 2 diabetes.

Here's what to expect this week on Diagnostic Imaging.

States with higher lung cancer burden have lower low-dose CT lung cancer screening rates.

Diagnostic Imaging and Testicular Cancer Risk; Digital Breast Tomosynthesis/Synthetic Mammography Combination for Breast Cancer Screening; Efficacy of Low-Dose CT Lung Cancer Screening; and the Evolving Role of the Radiologic Technologist

Without official guidance, radiation dose and protocol use has differed significantly worldwide.

Even potential for over-diagnosis does not appear to increase other causes of mortality.