
Whether it is humorous associations with common terminology, oddities on X-rays or decidedly uncomfortable imaging findings, this author shares a few chuckles from his experience.

Whether it is humorous associations with common terminology, oddities on X-rays or decidedly uncomfortable imaging findings, this author shares a few chuckles from his experience.

Catch up on the top radiology content of the past week.

The new workload management system reportedly emphasizes predictive analytics to facilitate efficient workload distribution and increase reading capacity for radiologists.

In a newly published statement, the American College of Radiology cited questionable literature support for the recent FDA guidance and noted potential consequences ranging from diagnosis delays due to parental anxiety about contrast-enhanced computed tomography (CECT) and increased health care costs.

Do we settle for oblique truths more often than not to mitigate potential repercussions?

Catch up on the top radiology content of the past week.

In a recent video interview on the current iodinated contrast media shortage, neuroradiologist Sean Bryant, MD discussed imaging alternatives, emphasized communication with referring physicians on optimal studies, and discussed the ongoing need to prevent “protocol creep” with timely updates of imaging protocols.

The resumed production of GE Healthcare’s Omnipaque products is a welcome development for radiologists scrambling to come up with alternative dosing and imaging options in the past month during the temporary shortage of iodinated contrast media.

In an ongoing quest to reduce the impact of the temporary iodinated contrast media (ICM) shortage, a group of researchers recently examined Medicare claims data to identify high-frequency usage patterns of contrast-enhanced computed tomography (CECT) services.

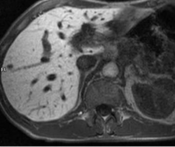
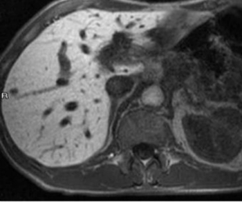
For post-op monitoring of patients who had pancreatic ductal adenocarcinoma (PDAC) resection, a new study showed that diffusion-weighted magnetic resonance imaging (MRI) had enhanced sensitivity for detecting recurrent tumors in comparison to conventional MRI.

Catch up on the top radiology content of the past week.

Researchers found that Korean women with a combination of benign breast disease and BI-RADS category C or BI-RADS category D breast density had a nearly threefold or greater 10-year risk for breast cancer.

In a recent lecture at the Society of Breast Imaging (SBI)/American College of Radiology (ACR) conference, Linda Moy, MD, reviewed key tips for optimizing magnetic resonance imaging (MRI) of the breast.

Could the emerging artificial intelligence platforms Saige-Dx and Quantib Prostate 2.0 improve cancer detection with mammography and prostate MRI?

Is it a thoughtless verbal reflex or a failure to go beyond a surface read of imaging?

Catch up on the top radiology content of the past week.

Given the challenges with the shortage of the iodinated contrast agent Omnipaque, national and state organizations have issued suggested risk mitigation and conservation strategies to reprioritize imaging needs during this temporary shortage.

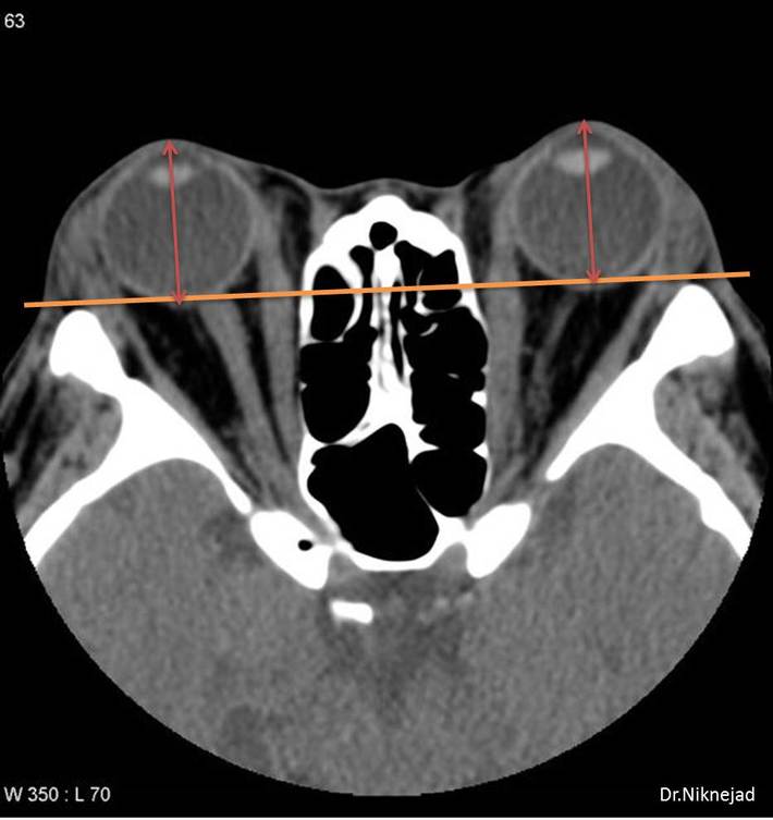
What is the diagnosis?

Offering integrated artificial intelligence (AI) and seamless multi-nuclei imaging capabilities, the new magnetic resonance imaging (MRI) system reportedly enhances image quality and workflow efficiency.

Review the top radiology content from the past week.

While there can be an array of challenges in outsourcing night coverage to teleradiology service providers, due diligence with contract terms can help mitigate costs and increase flexibility if radiology practices decide to switch teleradiology providers down the line.

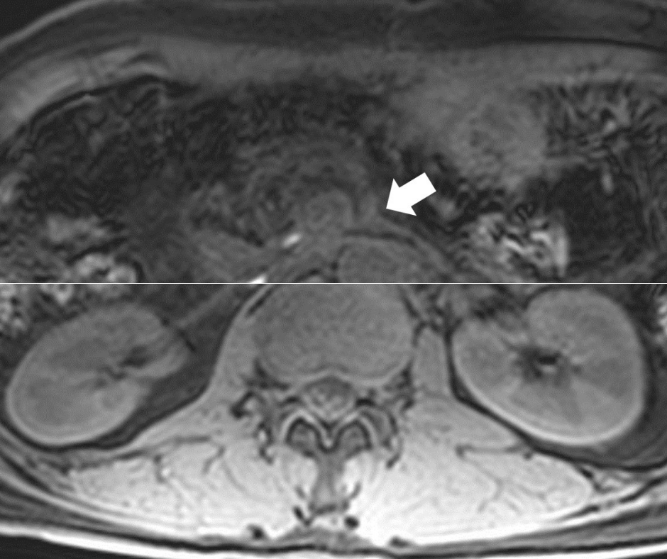
Could an emerging modality provide a viable alternative to gadolinium-based contrast agents (GBCAs) in this high-risk patient population?

Review top radiology content from the week.

Validating a prognostic scoring system for locoregional recurrence risk in post-mastectomy patients with varying levels of axillary lymph node involvement, emerging research suggests patients with intermediate risk for breast cancer recurrence could benefit from post-mastectomy radiotherapy.

Review top radiology content from the week.