
Implementing a radiology concierge service can alleviate the administrative tasks that can de-rail your image interpretation time.
Whitney J. Palmer has been with Diagnostic Imaging since 2011, serving as the Senior Editor since November 2019. She has 20 years experience in healthcare and academic medicine reporting.

Implementing a radiology concierge service can alleviate the administrative tasks that can de-rail your image interpretation time.

In collaboration with Oregon Health & Science University, the American College of Radiology will gather images for a multi-center study focusing on patients with severe, acute viral infection.

Coding and reimbursement expert Melody Mulaik offers insights about what the industry should do to fully prepare for the likely mandatory implementation of appropriate use criteria and clinical decision support.

Emergency providers are utilizing more ultrasound and MRI scans, fewer CTs.

Social media platform Snapchat could be an effective teaching tool for the new generation of radiologists.

COVID-19 has created the need for radiology residency programs to more effectively brand themselves online.

Deal marks first significant move for Siemens Healthineers; sets companies on path to be global oncology care leader.

X-ray phase contrast imaging provides better soft tissue differentiation and tumor detection.

Monies will support the creation of a Global Learning Center dedicated to training future radiologists in Sub-Sarahan Africa.

MRI screening every 18 months could catch more cancers, add life years in an economically efficient way.

A team of international experts published seven recommendations for the use of chest imaging in the diagnosis and management of COVID-19-positive patients.

COVID-19, Stroke, and Heart Damage; Limitations of Digital Breast Tomosynthesis; Guidance for Pediatric CTA; and Micro-Ultrasound and Prostate Cancer

Improving the readability of mammography recall letters prompted a nearly two-fold increase in the likelihood women will return for subsequent imaging.

Algorithm can be used to detect changes in liver lesions after treatment initiation.

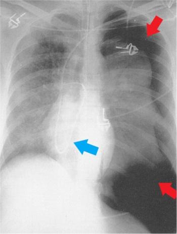
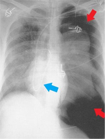
Clinicians should adopt a lower threshold for evaluating patients for stroke and providing care.

Responders who have cognitive impairment have reduced gray matter thickness in the brain consistent with neurodegenerative conditions.

Understanding the underlying principles and details of CTA can help optimize dose and improve diagnostic quality for pediatric patients.

Almost all studies and modalities have seen significant declines in payment since 2007.

Digital breast tomosynthesis improves cancer detection rates and reduces recalls, but not for all women.

Features can be used to pinpoint which patients will most likely be admitted to the ICU, as well as patient outcomes.

Solution helps radiologists prioritize and identify suspicious mammograms.

Scans show cardiovascular impact lingers after the acute phase of viral infection and into recovery.

Algorithm can pre-operatively pinpoint metastasis, potentially helping some patients avoid unnecessary surgery.

Images demonstrate high accuracy for identifying B-lines, thickened pleural lines, and pulmonary consolidation features.

The system is designed to reduce unnecessary biopsies, lesion correlation time, and improve overall diagnostic accuracy.

Lung cancer, X-ray improvements, Post-Pandemic Success, and Minority Patients and COVID-19

Siamese neural network can predict intubation and which patients were likely to die within three days of hospital admission.

Racial and ethnic minority patients show more severe cases on chest X-ray, fueled by socioeconomic factors.

Technique splits X-ray beam into thin streams that deliver the same image quality with reduced dose.

Relying on patient- or tumor-specific characteristic to recommend pre-operative MRI could result in missed cancers.