
Case History: 57-year-old patient presented with left flank pain.

Case History: 57-year-old patient presented with left flank pain.

Imaging with SPECT can identify brain trauma among NFL players.

Case History: 20-year-old male with originally painless swelling of right cheek that has become painful.

Brain CT and MRI for early stage lung cancer patients are not routinely recommended.

Using PET during treatment for Hodgkin lymphoma may help determine earlier effectiveness of chemotherapy.

Most radiologists leave out TNM staging for head and neck cancer reports.

Case History: 62-year-old male with history of abdominal pain and weight loss for two months.

Assessing radiologists with and without cardiac training when reading chest CT.

Case History: 57-year-old patient presented with complaint of numbness in arms.

Annual low-dose CT screening for lung cancer for high-risk patients may not be necessary.

Using imaging to assess head-and-neck cancer patients posttreatment saves money.

Case History: 14-year-old with headaches and seizures for eight months.

Educating patients about radiation is more important than ever.

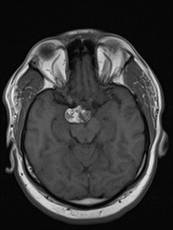
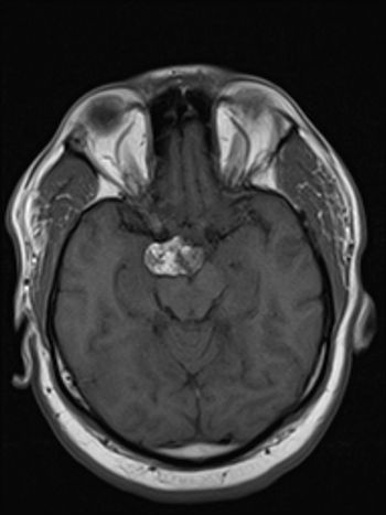
46-year-old male presents with headache.

When emergency departments must obtain preauthorization for CTs, they may see an increase in utilization.

Case History: 62-year-old male with complaint of epigastric pain, retching.

Annual CT lung cancer screening recommended for high risk patients.

Ultra-low dose CT to detect joint fractures in children as good as standard CT imaging.

ECR 2016 reveals no end in sight to the commoditization trend in CT, but few lights of hope.

Case History: 7-year-old patient with history of proptosis on the right side and temporal swelling.

Part one of a two-part series on postmortem and forensic radiology.

PET imaging does not improve detection of some recurrent cancer in asymptomatic patients.

Evaluation of noninvasive PET/MR enterography on differentiation of strictures in patients with Crohn disease.

Case History: 20-year-old, no medical or surgical history, with neck mass and swelling for several days.

FDA approves Bracco’s READI-CAT 2 and READI-CAT 2 SMOOTHIE for use in abdominal CT.