
Patients who undergo coronary CT angiography receive lower radiation doses and are more pleased with the experience than with MPI.

Patients who undergo coronary CT angiography receive lower radiation doses and are more pleased with the experience than with MPI.

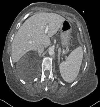
Case History: 27-year-old patient presented with history of trauma.

Patient education can be taxing.

Coronary CT angiography detects links between arterial plaque, diabetes, blood pressure, and cholesterol levels.

Neuroimaging may not be necessary for all children with sports-related concussion.

Case History: 67-year-old female with progressive increase in size of left breast for five years.

CT may be used less often in diagnosing TBI with early measurement of glial fibrillary acidic protein and its breakdown products (GFAP-BDP).

Case History: 60-year-old female with shortness of breath worsening with exertion and fatigue.

A new study of amyloid PET brings imaging to the forefront of research for Alzheimer's disease.

Imaging examinations interpreted by diagnostic radiology residents and fellows have increased.

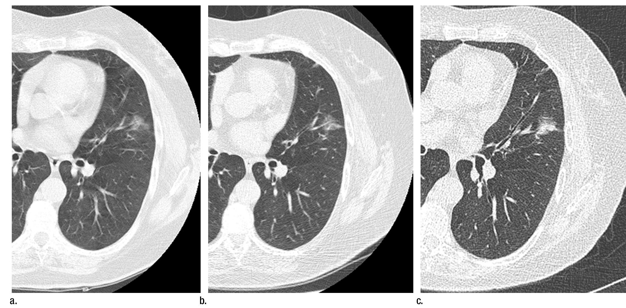
A CT protocol with lower radiation and contrast dose for aortic assessment provides acceptable diagnostic imaging.

Case History: 62-year-old female with right upper abdominal pain.

WASHINGTON, DC-Pre- and postcontrast chest CTs are done more often by nonradiologists than radiologists.

Case History: 30-year-old male with discomfort in left groin region due to mass/swelling for one year.

Using low-tube voltage CTC provides adequate image quality at lower radiation doses.

Case History: 60-year-old male with complaints of inability to pass stool and flatus with pain in abdomen.

Patients who undergo imaging tests could use more information about the examination.

The cost for noncontrast CT scans varies quite a bit, but information on pricing is usually easily to obtain.

FDG PET may not be valuable for all breast cancer histologies.

Imaging by DECT may be an important tool in diagnosing and managing pancreatic cancer.

PET/MR has a promising future, but radiology practices will need deep pockets to implement the systems.

74-year-old with history of aortic valve repair at an outside hospital.

Manual entry of CT dose reporting makes it highly susceptible to inaccurate information.

Follow-up LDCT screening for lung cancer decreases recall rates.

85-year-old male with history of aortic stenosis receiving contrast-enhanced CT for preoperative evaluation.