
As growth of imaging utilization slows, radiologists worry about the effect on reimbursement.

As growth of imaging utilization slows, radiologists worry about the effect on reimbursement.

PET with [18 F]flutemetamol can assist physicians in early and more accurate diagnosis of early onset dementia.

Brain PET and age may help clinicians determine which patients with amnestic mild cognitive disorder may progress on to probable Alzheimer’s disease.

If radiology groups aren’t using compliant CT scanners, they can expect to pay up.

Analysis of imaging performed immediately following the Boston Marathon bombings allowed researchers to improve the emergency response system.

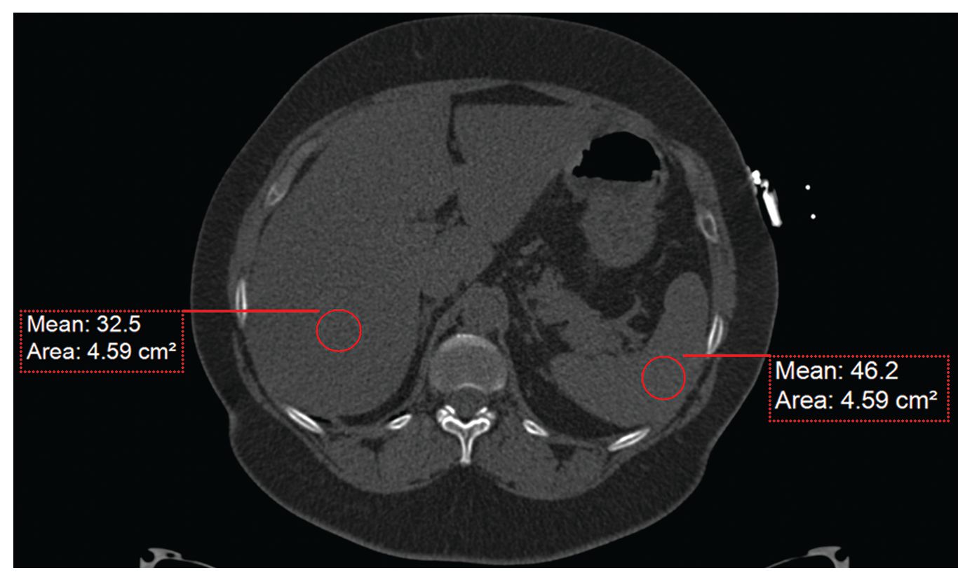
Case History: Female patient in early 60s with abdominal pain and nausea.

Using an algorithm with CT colonography allows radiologists to recognize previously identified polyps.

A drop in the number of CT scans performed on inpatients and reduction of radiation doses lowered the estimated rate of induced cancers.

Study identifies lowest possible radiation dose that still allows for detection of pleural effusions, thickening and calcification.

Study shows patients are positioned too low, negatively impacting radiation dose and image noise in chest CT.

Use of pediatric dose-reduction protocols and shielding for CTs vary among hospitals.

Many CTs for suspected appendicitis among children may be avoided if radiologists use a diagnostic algorithm.

Patients with a blunt traumatic brain injury who exhibit normal neurological status do not need to undergo repeat head CT scans.

CT images show lung changes in patients with MERS coronavirus infection.

The controversy of covering low-dose CT for lung cancer screening continues, as groups argue lives saved versus dollars spent.

Cardiac imaging with PET and MRI shows excellent diagnostic accuracy compared with SPECT-MPI.

Low-dose CT screening for lung cancer does not result in diminished health quality of life or long term anxiety, study says.

Short but intensive training was effective in training radiology staff on dose reduction.

Imaging visualizes rheumatoid arthritis inflammation in preclinical study.

Tomosynthesis, photon counting and photoacoustic imaging are just a few of the growing options for breast imaging technology.

Emergency department radiology services frequently are uncompensated among both uninsured and insured patients.

Knowledge of radiation safety among medical residents, including radiology residents, could be improved.

Preoperative imaging of patients with esophageal cancer by PET and MRI may provide higher accuracy in nodal staging.

Radiologists tend to get a bad rap, but when it comes to imaging studies, we know best.

Radiologists need to play their part in educating the public about radiation.