Facility Management
Latest News
Latest Videos
CME Content
More News

New research shows radiologists – regardless of experience level – fall victim to inattentional blindness, overlooking obvious unrelated findings when they are trying to answer a specific diagnostic question.

Volpara Health and DetectED-X are collaborating to make a breast density categorization training tool available to radiologists worldwide.

Cooled radiofrequency ablation (c-RFA) for moderate-to-severe hip and shoulder arthritis could help some patients avoid surgery and reduce the risk of opioid addiction.

Diagnostic viewer is designed to give providers personalized anywhere, anytime access to medical imaging.

Peer-reviewed articles on imaging diagnostic text accuracy that have positive conclusions are more likely to be published faster, potentially flooding the literature with positive findings.

Teleradiology presents both benefits and challenges for post-pandemic imaging.

Tips on strengthening relationships in the radiology department.

Recognizing what matters to patients during the COVID-19 outbreak can help practices and hospitals meet patient needs and improve outcomes.

Open-source system makes it easier to merge clinical data with imaging files.

Purchasing vouchers for imaging services could present safety risks and set customer up for upselling attempts.

Among providers, including radiologists, who test positive for a sleep disorder, more than 90 percent have been undiagnosed and untreated.

Imaging utilization has varied by socioeconomic factors during the COVID-19 outbreak.

Ali Gholamrezanezhad, M.D., from the Keck School of Medicine, shares his COVID-19 insights after conducting more than three dozen studies.

Re-authorize MDUFA without raising user fees to fund unrelated programs.

Industry experts advocate for radiologists to opt for relying on artificial intelligence – rather than non-physician providers – for help with workflow and cost reduction.

CMS pushes launch from January 2021 to July 2021.

Ultrasound as the New Stethoscope; Pre-Operative MRI and Dense Breasts; Spectral CT and COVID-19; Corporatization in Radiology

Researchers from China recommend disinfecting the air, alongside, sanitizing surfaces, to reduce exposures and transmission.

A pilot lecture series at one medical center is designed to provide residents with in-depth instruction in commonly used artificial intelligence algorithms.

Here's what is coming soon to Diagnostic Imaging.

Four challenges are preventing more institutions from implementing remote reading.

A partnership between one medical school and an ultrasound manufacturer is intended to re-design how students learn.

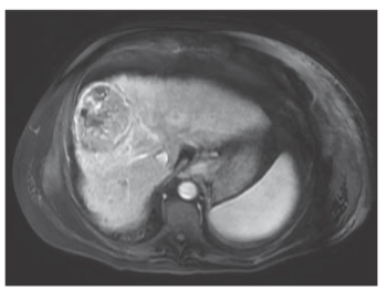
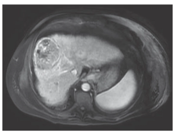
Mistakes highlight the need for more sub-specialty reads with MRI, particularly abdominal and pelvic scans.

Opposition to AI in Mammography; Alzheimer's Disease and Vascular Dysfunction; Clear & Present Danger for The Match; Trends & Innovations in Breast Imaging

Cases drafted by radiology extenders saved attending radiologists nearly one hour a day.































