
Radiologist errors identified from an analysis of 656 imaging exams paints a unique picture describing why radiologists make errors. The analysis also points to ways such mistakes can be prevented.

Radiologist errors identified from an analysis of 656 imaging exams paints a unique picture describing why radiologists make errors. The analysis also points to ways such mistakes can be prevented.

Bone can obscure lung lesions that may indicate cancer. The latest version of CAD software from Riverain Medical, shown publicly for the first time at RSNA 2010, takes care of the problem.

Imagers know that you can skip the contrast in heavier patients undergoing CT scans for suspected appendicitis, but just how heavy is heavy enough?

A new study reports that the use of CT in the nation’s emergency departments is growing exponentially. If the growth trend continues, by 2011, nearly 20% of all emergency department visits may involve a CT exam. The results of this study were presented Monday at the annual meeting of the RSNA.

A new approach that detects breast cancer vasculature is making an appearance at the 2010 RSNA meeting. The method, called high spectral and spatial resolution, or HiSS, uses water to detect tumor blood vessels without contrast.

A Monday morning scientific session covering cardiac CT dose and noise broke down into newsworthy matched pairs: two studies examining the implication of CT radiation on public health, two investigating the impact of radiation reduction strategies on patient dose and image quality, and a third pair considering how noise reduction from iterative reconstruction affects the quality of images of highly calcified vessels and morbidly obese patients.

Philips is adding to its portfolio a new line of CT scanners and a new line of PET/CTs based on dose-saving technologies. Ingenuity CT will displace Philips’ Brilliance line of CTs in configurations up to 128 slices; the Ingenuity TF PET/CT will displace the company’s Gemini platform of PET/CTs. Philips will not stop making these older models, but will feature them in its product portfolio as alternatives to the latest releases.

Hologic has pursued breast tomosynthesis as a commercial modality for the last five years, recruiting luminaries with track records in tomo going back a decade or more. Now, at RSNA 2010, the company is on the brink of achieving that objective.

A radiation monitoring system that quantifies the radiation being absorbed in the fluoro suite promises to give individual staff the information they need to minimize their exposure to x-rays. Philips Healthcare came up with the product, called DoseAware, which the company unveiled earlier this year at the European Congress of Radiology and now on the RSNA 2010 exhibit floor.

Philips’ new xMatrix brings real-time volumetric scanning to radiology as part of the company’s latest version of the iU22 ultrasound scanner. First built into Philips’ echocardiography systems five years ago, a souped-up version built into the company’s flagship iU22 on the RSNA exhibit floor quickly captures volumes in the abdomen that can be interrogated in 2D planes any time after the patient has left the exam room. Two planes can be viewed simultaneously using Live xPlane. Images drawn from the volume can then be sent to any PACS.

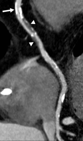
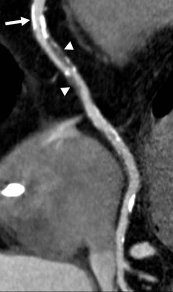
Using 80-kVp CT pulmonary angiography for patients suspected of CT pulmonary embolism reduces radiation exposure, significantly increases contrast medium attenuation in the pulmonary arteries, and doesn’t look much different from standard dose, according to a study presented Tuesday at the RSNA meeting.

A few modifications to the radiology order form can serve an important function in encouraging physicians to adopt evidence-based practices when ordering CT to evaluate small pulmonary nodules, according to a study from Dartmouth-Hitchcock Medical Center.

People with obstructive sleep apnea have a higher risk of developing coronary atherosclerosis and coronary artery disease, according to a study presented Tuesday at the annual RSNA meeting.

Mobile devices for image display scored well in scientific papers presented Monday but still face significant hurdles before they are ready to become a routine part of image interpretation.

Athletes are known for playing through injuries, and a new study presented Monday at the RSNA annual meeting says that sometimes it’s safe for them to push through pain.

Walk into the lifeIMAGE booth on the RSNA 2010 exhibit floor and you will see how hundreds of thousands of patients will take control of their medical images and records over the next two years.

In the battle against patient overdose, Toshiba America Medical Systems brought two weapons to RSNA 2010. One is its Adaptive Iterative Dose Reduction (AIDR), software similar in approach to products from competing CT vendors who use iterative reconstruction to squeeze noise out of their images. The other, Target CTA, is a dose protocol devised specifically for cardiac scans done on the Aquilion One.

Alternative strategies for controlling imaging utilization, radiology benefit managers and computerized decision support, squared off in a scientific session Sunday.

Walking may slow the progression of Alzheimer’s disease and mild cognitive impairment in healthy and cognitively impaired adults, according to a study presented Monday at the RSNA annual meeting. A separate study found walking and other light physical activity delays the onset or altogether prevents osteoarthritis

Not knowing your test results can be more stressful than actually having a confirmed diagnosis, according to a study presented Nov. 29 at the RSNA annual conference. The uncertainty patients experience in the waiting room is as serious a stressor as knowing they have a malignant disease, the researchers found.

The iPhone has excellent image quality and allows for accurate interpretation of telestroke cases, according to a study presented Monday at the RSNA 2010 meeting. The major pitfalls of using the mobile device have to do with time: the download speed is slow and so is the time it takes to interpret the image.

Fuji Medical Systems USA outdid itself in portable x-ray twice this year at the RSNA meeting. The company unveiled a wireless version of the cabled portable x-ray detector it released earlier in the year. It also brought out a new version of its FCR Go, a portable x-ray system based on computed radiography, featuring an enhanced generator, full-size workstation, and improved drive subsystem for greater mobility.

The higher rate of mastectomy among breast cancer patients imaged with MRI may be due to selection bias as opposed to the modality itself, according to a study presented at the RSNA scientific assembly Nov. 28.

The effects of an agreement signed in the run-up to RSNA 2010 changed the IT approaches of two companies on the exhibit floor, TeraRecon and Agfa HealthCare. One week before the imaging community trekked to Chicago, these two companies cut a deal to make TeraRecon’s thin-client iNtuition an integral part of Agfa’s IMPAX 6 PAC system

Screening MRI should be an adjunct to screening mammography in women with a personal history of breast cancer, researchers at the 2010 RSNA scientific assembly in Chicago said.

Nearly a decade after PET/CT was first commercialized, vendors at RSNA 2010 took the next logical step and combined MR and PET. The result is unlike anything seen before.

Fuji Medical USA has integrated 3D directly into its Synapse PACS, eliminating the need for thin-client 3D or dedicated 3D workstations accompanying its PACS. The newly integrated technology, dubbed Synapse 3D, was shown for the first time as a commercial product at RSNA 2010, accompanied by a work-in-progress application called Synapse Mobility that promises to allow access to Synapse PACS images and clinical tools using handheld devices.

Seeking to drive down patient radiation dose, Siemens Healthcare unveiled a new technology platform for its CT scanners, one that not only cuts dose but speeds the exam and promotes more efficient patient handling

Video! Ziosoft has been trying to unlock the U.S. market for advanced visualization for several years. It may have found the key with a technology unveiled this week at RSNA2010.

Dr. Hedvig Hricak used her presidential address before the opening session of the 2010 RSNA meeting to express her desire for a new molecular imaging subspecialty while cautioning radiologists that MI is not appropriate for all clinical settings.