
44-year-old female presents with “cord-like,” palpable lump on left breast.

Middle age female with back pain and left sided radiculopathy. What most likely represents the imaging finding?

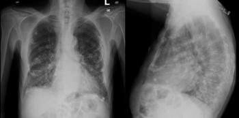
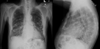
74-year-old woman complains of food “sticking” in her throat.

Elderly female with lymphoma. What is the most likely diagnosis of the imaging finding, which demonstrates increased FDG uptake?

Adolescent male presented with complaint of pain in the left hip, which is relieved by analgesics.

A 45-year-old male patient presented with pain in the right iliac fossa.

70 year old female with wrist pain. What is the imaging finding?

A 30-year-old female presents with papilledema. What is the imaging finding?

65-year-old male presents with left sensorineural hearing loss.

50-year-old diabetic patient presented with fever, dysuria, and abdominal pain.

Patient presents for upper GI series with this finding... What is your diagnosis?

Patient presents with this skull radiograph. What is your diagnosis?

Young man presents with abnormal ultrasound and elevated liver function tests. What is the most likely diagnosis?

What is the diagnosis in this patient with severe epigastric pain on a new medication?

Elderly female with back pain and radiculopathy. What is the most likely diagnosis? What is the most common tumor in this location?

In this patient with progressive anemia, what is your diagnosis on this CT?

Middle age male with left sided weakness. What is the most likely diagnosis? What radiology sign is demonstrated?

What is causing this appearance on small bowel GI series follow-through?

What is causing this appearance on this barium study?

What injury could be related to this anterior superior iliac spine avulsion injury? What's your diagnosis?

What do you see on this X-ray of the forearm?

What is your diagnosis in this 68-year-old man with increasing memory loss and dementia?

Patient with uncontrolled diabetes presents with nausea and vomiting, sepsis. What is the most likely diagnosis?

What is this seen post bypass surgery along the aorta?

What's the diagnosis for this image captured with CTA?

What is your diagnosis for this 59-year-old patient who presents with abdominal pain?

What is your Dx?

What is the diagnosis in this patient who is a 68-year-old male?

What's your diagnosis of this X-ray?