
A 7-year-old male presented with pain after falling on an outstretched hand.

A 32-year old male presents with abdominal discomfort.

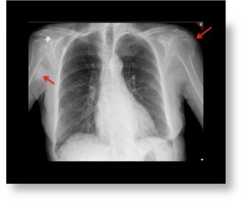
A 74-year-old female presents with palpable lump over the right axillary region.

69-year-old man presents with headache.

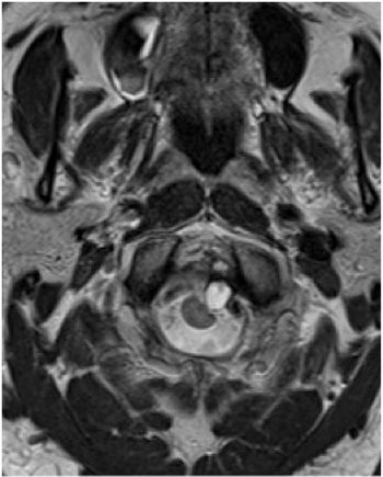
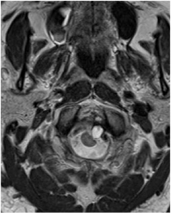
A 13-year-old female presents with painful swelling in the left temporal region.

52-year-old female with vertigo, headache, tinnitus, eye twitching, and general instability while walking.

47-year-old patient offered screening ultrasound due to dense breast tissue.

65-year-old female with sickle cell anemia and ESRD status postrenal transplant presenting with AMS and SIRS.

46-year-old male presents with headache.

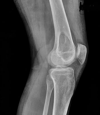
24-year-old male with history of pain in the knee following trauma.

32-week pregnancy with anomaly.

75-year-old male presented with left-sided weakness, headache, and altered sensorium.

28-year-old male presented with sensorineural hearing loss for two months.

55-year-old male with swelling in left leg for four months.

49-year-old patient presented for bilateral screening mammogram as well as bilateral screening ultrasound due to dense breast tissue.