
Facility Management
Latest News

Latest Videos

Podcasts
CME Content
More News

Could there be a simpler more secure alternative to the daily dance with password managers, VPNs, and authenticator apps?

Text messaging may go a long way toward reducing the costs and potential health repercussions that can occur with cancellations, no-shows and no-gos in radiology practice.

Catch up on the most well-viewed video interviews from Diagnostic Imaging in January 2025.

Catch up on the most-well viewed radiology content in January 2025.

In a recent interview, Amy Patel, M.D., discussed key points of emphasis for legislative advocacy in radiology, including long-term reform in Medicare reimbursement, improved coverage of breast cancer screening and mitigation of the ongoing radiology workforce shortage.

In the second part of a two-part interview, Nina Kottler, M.D., says the transparency emphasis of the recent FDA guidance on AI-enabled software is welcome but needs to go beyond additional documentation to clarify how adjunctive AI is making its decisions.

In order to flip the script on the impact of the radiology workforce shortage, radiology groups and practices need to make sound investments in technologies and leverage partnerships to mitigate gaps in coverage and maximize workflow efficiencies.

In the first part of a two-part interview, Nina Kottler, M.D. offers insights and perspective on the recently issued guidance from the FDA on AI-enabled devices and how it may impact developers in the radiology field.

How do we respond to challenges with staff recruitment, cybersecurity, and looming hospital takeovers in radiology? This author assesses key trends in radiology and offers key insights to stay competitive in the field.

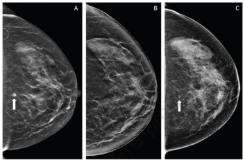
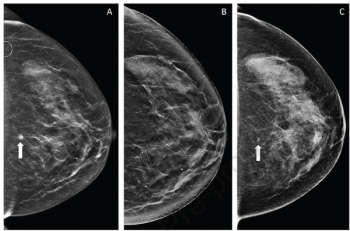
In a study of over 463,000 women who had screening mammography exams, adjunctive AI led to a 17.6 percent higher detection rate for breast cancer and a three percent increase in positive predictive value for recalls.

In a recent interview, Arlene Sussman, M.D., discussed her experience in leading vRad’s teleradiology breast imaging service, how to foster personalized care in breast cancer screening, utilizing AI to help mitigate daunting worklists and improving access to subspecialty care.

There may be a certain denial about the capability of proposed radiology workforce solutions and technological advances such as AI to enhance our efficiency.

Touching on a variety of topics in radiology, here are the top five most well-viewed content from Diagnostic Imaging in 2024.

Sixty-eight percent of radiation oncologists said average delays with prior authorization are five days or more, and seven percent of survey respondents said these delays have been a contributing factor in the death of cancer patients.

Emerging trends with artificial intelligence and cloud technology may reinvent efficiency and scalability with radiology workflows.

The combination of FDA-cleared AI software for mammography triage with a medical grade edge AI platform may allow the embedding of enhanced AI detection capability within existing mammography devices.

Is it plausible that the current emphasis on spending what it takes to recruit and retain radiologists in a thriving job market shifts to more and more of a dependence on AI?

How does one reconcile being reachable by fellow clinicians and an inevitable invasion of privacy?

What are the key factors that facilitate a collegial work environment in radiology?

In newly issued proposals addressing changes to coverage for Medicare services in 2025, the Centers for Medicare and Medicaid Services (CMS) announced its intent to provide coverage of computed tomography colonography (CTC) for Medicare beneficiaries in 2025.

In the study of over 1,400 women with breast cancer, researchers noted that Black women with dense breasts or lobular histology were significantly less likely to have preoperative MRI exams than White women with the same clinical characteristics.

What are the key drivers for facilitating staff retention in radiology?

Emphasizing core concepts of sound ergonomics, accessibility, inclusivity, personalization, and convenient storage can help foster reading room environments with minimal distraction and optimal productivity.

Noting significant variation with facilities for achieving passing criteria for mammography positioning, researchers found that structured interventions, ranging from weekly auditing of images taken by technologists to mechanisms for feedback from radiologists to technologists, led to significant improvements in a multicenter study.

While radiologists interpreted approximately 99 percent of all non-cardiac CT, MRI and nuclear medicine studies in hospital and emergency department settings for Medicare beneficiaries, new research shows significantly less radiologist review of cardiac imaging and office-based imaging.







































