
Women's Health Ultrasound
Latest News

GE HealthCare Unveils Enhancements to Venue Point-of-Care Ultrasound Systems

Viz.ai Launches ECG Platform to Streamline Workflow for Patients with Acute Coronary Syndrome
Latest Videos

CME Content
More News

Findings from a multivariable analysis revealed that increased pulse wave velocity-end of systole (PWV-ES), assessed with ultrafast ultrasound, was associated with more than double the cardiovascular risk in young individuals with no major cardiovascular risk factors.

The Voluson Performance 18 and 16 ultrasound devices reportedly combine enhanced imaging capabilities with AI-enabled efficiencies.

The AI-powered cardiovascular ultrasound device reportedly offers enhanced spatial and contrast resolution as well as bolstered 4D imaging that enables improved evaluation of cardiac function for a wide range of patients.

Catch up on the most-well viewed radiology content in August 2025.

Combining advances in imaging quality with access to 26 FDA-cleared applications for automated and accelerated tasks, the Transcend Plus software will be featured at the upcoming European Society of Cardiology (ESC) and American Society of Echocardiography (ASE) conferences.

Catch up on the top AI-related news and research in radiology over the past month.

The MyLab A50 and MyLab A70 ultrasound platforms reportedly enable a variety of detailed and multiparametric evaluations, including assessments for liver elastography and strain analysis echocardiography.

Catch up on the top radiology content of the past week.

Reportedly the only point-of-care ultrasound system that can estimate liver stiffness and attenuation that correlate to MRI-PDFF, Velacur One also may facilitate higher reimbursement than non-imaging elastography.

Could the NeedleVue LC1 Ultrasound System reinvent real-time ultrasound-assisted needle guidance for interventional procedures?

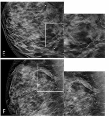
Researchers noted a 78 percent malignancy rate when associated architectural distortion was present on digital breast tomosynthesis (DBT) with highly suspicious masses or microcalcifications.

In addition to facilitating centralized scanning for a variety of imaging, the TechLive system may help ease the strain of technologist shortages and broaden access to advanced imaging exams.

Mammography detected 82 percent of pregnancy-associated breast cancer in a cohort of women with a high prevalence of extremely dense breasts, according to a new study.

Catch up on the most-well viewed radiology content in July 2025.

Catch up on the top AI-related news and research in radiology over the past month.

Offering a minimum scan depth of 4 mm, the UHF46-20 Transducer reportedly provides high-quality resolution for visualizing superficial nerves and vessels.

The dual FDA clearances for the Accuro 3S point-of-care ultrasound device and the SpineNav-AI machine learning-based software may enhance precision and safety with ultrasound-guided neuraxial procedures.

Stay updated with the latest in radiology, including PET, MRI, and AI research, plus essential insights on mammography and cardiac imaging.

EchoGo Amyloidosis, an echocardiography-based AI screening software, demonstrated a 93 percent AUROC for cardiac amyloidosis detection in a new multicenter study.

For patients with advanced Parkinson’s disease, the expanded FDA approval of the Exablate Neuro platform allows for the use of MRI-guided focused ultrasound in performing staged bilateral pallidothalamic tractotomy.

The diagnostic tomographic 3D ultrasound imaging technology PIUR tUS inside will reportedly be available with select GE HealthCare Logiq systems.

The acoustic coupling fluid and sterile transfer kit reportedly removes acoustic artifacts that can occur with the use of standard irrigation fluids in ultrasound-guided neurosurgical interventions.

Catch up on the top AI-related news and research in radiology over the past month.

The AI software reportedly facilitates ease of use and improved accuracy in fetal ultrasound evaluations.

The 14th FDA-cleared AI software embedded in the Exo Iris ultrasound device reportedly enables automated detection of key pulmonary findings that may facilitate detection of pneumonia and tuberculosis in seconds.








































