
Facility Management
Latest News
Latest Videos

Shorts

Podcasts
More News

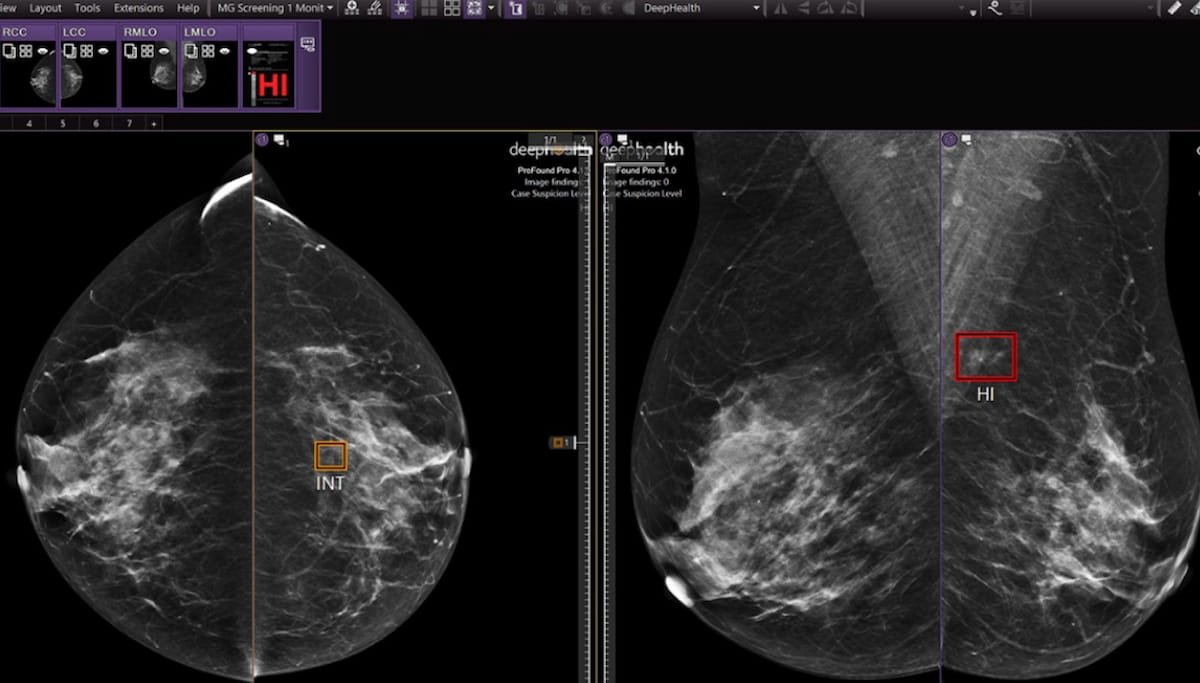
The newly launched Compass AI software platform reportedly facilitates a 94 percent compliance rate for documentation of point-of-care ultrasound (POCUS) exams.

Exploring ways to bolster efficiency in an ongoing manner can help mitigate the strain of burgeoning worklists and improve morale.

Use of AI provided a pooled 22 percent increase in adenoma detection but no significant impact for advanced adenomas, according to an analysis of 39 randomized controlled trials examining AI’s impact in detecting colorectal cancer.

The launch of the AVI imaging platform reportedly facilitates direct integration into PACS and RS systems, and automated access to adjunctive CT-based AI applications for a variety of conditions including pulmonary embolism, intracranial hemorrhage and large vessel occlusion

The Harrison.ai Open Platform reportedly emphasizes open architecture, customer ROI and elimination of costly AI platform fees.

Radiologists from closed practices were 10 percent more likely to practice as subspecialists the following year, according to a newly published analysis.

Expanded capabilities for the Sirona Advanced Imaging Suite reportedly include quantitative SUV analysis and multiplanar reconstruction for PET/CT imaging.

Through the use of a multimodal system, Viz Assist provides generative AI summaries of patient histories that may ehance care coordination and facilitate more timely interventions.

Seemingly over the top efforts for recredentialing of radiologists may have an adverse impact on a facility’s retention and recruitment.

Through enhanced data interoperability and access to patient histories, the cloud-based InteleHeart may facilitate better communication and workflow efficiencies for radiologists and cardiologists.

In a recent interview, Morris Panner offered his perspective on cultural hurdles to interoperability in health care, emerging trends with enterprise imaging and an answer first approach to integrating AI in radiology.

Catch up on the top radiology content of the past week.

New research shows that women, subspecialists and radiologists in non-academic settings had over a 25 percent higher attrition rate in radiology in comparison to men, general radiologists and academic radiologists.

The Revolution Vibe computed tomography system reportedly facilitates quality low-dose imaging for cardiac exams in patients with arrhythmias, heavily calcified coronaries and stents.

From emerging research on disparities in breast cancer screening to the promising combination of contrast-enhanced mammography with DBT and a three-part podcast on abbreviated breast MRI, here is a look back at the most well-reviewed breast imaging content of the summer.

Emerging cloud and AI-driven technologies may help address resource gaps, bolster consistent imaging quality and provide improved access to radiology services.

While the research reveals key benefits with portable imaging, particularly point-of-care ultrasound applications with AI capabilities, these authors note challenges with variability in training and advocate for radiologist-led oversight.

In the second part of a recent interview, Chris Mattern. M.D., discussed the increasing burden of non-clinical tasks upon radiologist workloads and the potential of the emerging enterprise imaging platform MosaicOS to address efficiency and restore the focus on clinical care.

Emphasizing advanced orchestration of imaging workflows, the Rhapsody Image Director software reportedly facilitates streamlined efficiency and infrastructure that accommodates multimodal AI tools.

In a recent interview, Tammie Benzinger, M.D., Ph.D., discussed the utility of portable low-field MRI to help identify patients in remote settings who may be viable candidates for subsequent MRI workup and consideration for new anti-amyloid therapies in treating Alzheimer’s disease.

Catch up on the top radiology content of the past week.

In light of the ongoing challenges with navigating malpractice risk and administrative burdens in radiology, these authors issue a call for increased communication and collaboration with ordering clinicians.

In a recent interview, Chris Mattern, M.D., discussed a confluence of trends that may be contributing to burnout in radiology, early retirements and a shifting preference from full-time to part-time roles in radiology.

Lower proportions of extremely dense breasts and high BRCAT lifetime risk among Black women in comparison to White women may have resulted in a lower likelihood of eligibility for supplemental screening insurance coverage in Pennsylvania, according to new research.

The multimodality remote scanning modality uOmniscan and the recently FDA-cleared 3T uMR Ultra MRI system were unveiled at the Association for Medical Imaging Management (AHRA) conference in Las Vegas.




































